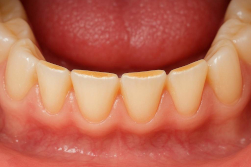
Lorsque le dysfonctionnement temporo-mandibulaire est lié à un bruxisme (grincements de dents), on peut observer une usure exagérée et anormale des dents. Des forces occlusales excessives et mal orientées affaiblissent la structure des dents et peuvent provoquer des fissures de l'émail, et même à terme, des fractures de couronnes et de racines dentaires.
Ces usures et ces fractures vont compromettre la santé dentaire, causant douleurs, infections et complications supplémentaires. L'esthétique du sourire va être impactée également.
Votre dentiste à Paris 17 est un spécialiste d'occlusion et de gnathologie, expert dans le diagnostic et le traitement des troubles temporo-mandibulaires. Son approche est globale et prend en charge l'ensemble des troubles associés à la dysfonction temporo-mandibulaire. Son examen des usures et des fêlures dentaires fait partie du bilan oro-maxillo-facial, ces symptômes étant toujours très significatifs.

