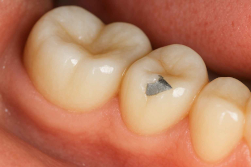
Si vous avez remarqué qu'un éclat de porcelaine s'est détaché d'une de vos couronnes, et en particulier s'il s'agit d'une dent du fond, il vaut certainement la peine de vérifier si c'est en rapport avec un trouble de l'articulation des mâchoire.
Fractures de couronne et Trouble Temporo Mandibulaire (TTM)
À priori, il n'est pas évident de voir un rapport entre une couronne céramique qui s'est fracturée au niveau de la porcelaine et une dysfonction temporo-mandibulaire (DTM).
Pourtant ce rapport existe. Dans le texte qui suit, nous allons essayer de vous expliquer simplement quelques notions complexes d'occlusodontie et leur rapport avec ce qui est arrivé à votre fausse dent en céramique.
La position d'intercuspidation maximale (ICM)
Cette expression très technique désigne une position de la mâchoire où les dents sont serrées avec un nombre maximal de points de contacts entre les dents.
Si vous serrez les dents bien fort, c'est à priori en position d'ICM que vous le faites. C'est une position unique, stable, qui permet de générer une force musculaire optimale. Par exemple, elle vous permet de mâcher votre steak même s'il n'est pas très tendre…
Quand l'ICM est instable
Chez certaines personnes, l'ICM est instable. C'est-à-dire qu'elles n'ont pas une position unique pour laquelle elles ressentent un maximum de points de contact, mais elles vont choisir, une fois la position "a", une autre fois la position "b". Dans cette position "b", la mandibule est décalée de seulement quelques dixièmes de millimètres mais il ne faut pas croire que cela ne porte pas à conséquence! Cette instabilité est souvent le signe d'une anomalie.
Pour la comprendre, voyons auparavant comment les muscles masticateurs se mobilisent quand vous mangez.
Le jeu musculaire pendant la mastication
Lorsque vous mâchez, vous faites intervenir essentiellement 2 muscles:
1. Un muscle vertical qui est chargé d'ouvrir et de fermer la mâchoire du bas (nous rappelons que la mâchoire du haut est solidaire du crâne et ne peut donc effectuer aucun mouvement). Appelé masséter, ce muscle est très puissant. Quand il est sollicité, on le voit gonfler au niveau des angles des mâchoires. Ceci se remarque bien chez les grands consommateurs de chewing-gum.
2. Un muscle horizontal, proche de l'articulation, situé à l'arrière des molaires. Son rôle est de stabiliser la mâchoire pour ne pas qu'elle vrille de droite à gauche pendant les mouvements d'ouverture - fermeture. Il s'appelle ptérygoïdien.
Le problème des interférences
Imaginez que vous êtes en train de serrer les dents sur une bouchée de pain. Et puis qu'en en fin de fermeture, vous sentez un tout premier contact dento-dentaire alors que les autres dents ne sont pas vraiment près de se toucher. Impossible de mastiquer convenablement dans de telles conditions, n'est-ce pas? Ce premier contact est appelé interférence car il interfère (il gêne) avec la fermeture complète des arcades dentaires.
Que fait alors votre système ostéo-articulaire? Il réagit par réflexe en décalant la mâchoire (généralement vers l'avant) afin de trouver un maximum de contacts interdentaires en position finale. Et voilà! Vous allez pouvoir continuer à manger normalement. Enfin, à peu près…
Cependant, et c'est le sujet qui nous intéresse, l'interférence est une contrainte qui se répète. À long terme, et en particulier si le point d'interférence porte sur une couronne, la céramique risque de céder. Elle va se fêler puis finalement se fracturer.
Nous pouvons maintenant comprendre pourquoi une dent en céramique cassée peut témoigner d'une malocclusion. Reste à vérifier si c'est effectivement le cas.
Consulter un spécialiste en occlusodontie et gnathologie
Seul un bilan gnathologique complet chez un occlusodontiste (dentiste spécialiste de l'occlusion) permet d'obtenir un diagnostic précis afin de déterminer si cette céramique fracturée témoigne d'une pathologie occluso-articulaire ou non.
Si vous vous sentez concerné par ce que nous venons d'expliquer, nous vous invitons à venir en consultation chez votre dentiste occlusodontiste à Paris 17ème. Ne tardez pas trop car ce genre de problème a plutôt tendance à se compliquer qu'à se résoudre avec le temps. Cependant, ne vous inquiétez pas outre mesure: des traitements existent et nous sommes en mesure de soigner les anomalies qui sont à la source de cette pathologie.

